Le patologie che possono colpire il cavo orale sono davvero numerose e possono insorgere per i motivi più svariati. Tra queste rientrano anche le fistole gengivali, di natura infettiva, che se non adeguatamente trattate possono comportare conseguenze anche gravi a chi ne soffre.
Gli odontoiatri del Centro Dentistico ROA sono specializzati nella diagnosi e nel trattamento delle fistole gengivali e, grazie alla loro esperienza e agli strumenti all’avanguardia, sono in grado di restituire al paziente uno stato di totale benessere.
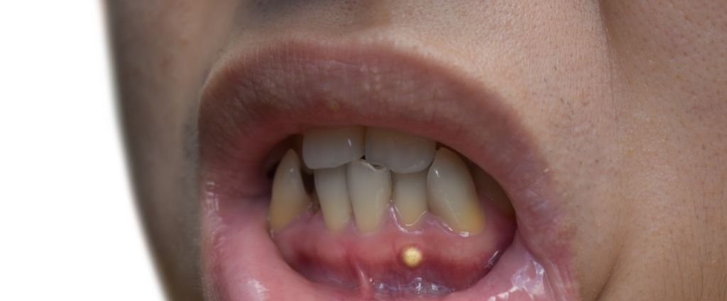
Cos’è una fistola gengivale?
La fistola gengivale è il diretto risultato di un processo infettivo: si tratta di una lesione, che può manifestarsi come un piccolo canale o una ferita sulle gengive, solitamente asintomatica nelle sue fasi iniziali. La sua caratteristica principale risiede nella capacità di colpire sia il tessuto gengivale, sia il dente stesso (in questo caso di parla di fistola dentale), estendendosi così anche ai tessuti circostanti.
La fistola può insorgere in qualsiasi parte della bocca: consiste in una piccola protuberanza interna, generalmente di colore rosso, visibile a occhio nudo e causa di un sapore sgradevole, anche perché produce pus (segno non solo dell’infezione in corso, ma anche della volontà dell’organismo di espellere i liquidi infetti).
Data la sua conformazione, la fistola gengivale potrebbe essere confusa con afte e ascessi, benché si tratti di tre lesioni molto differenti tra loro:
- le afte hanno un aspetto simile alle fistole, ma si verificano quando il sistema immunitario causa la necrosi dei tessuti della mucosa orale a seguito di stress, lesioni o indebolimento del sistema immunitario stesso. I tipici puntini giallo-biancastri non indicano la presenza di pus, ma semplice decolorazione, tanto che tendono a guarire dopo qualche settimana;
- gli ascessi, al pari delle fistole, sono causate da un’infiammazione batterica del tessuto gengivale, ma con una grande differenza: il pus che si forma non può fuoriuscire, infatti è sempre necessario intervenire chirurgicamente.
Altro aspetto da sottolineare è che mentre afte e ascessi possono manifestarsi anche sulla parte interna delle guance, sulla lingua e sul palato, le fistole compaiono solo sulle gengive.
Sintomi della fistola gengivale
Quando si presentano, le fistole gengivali sono accompagnate da un gran numero di sintomi che, in un modo o nell’altro, possono influire sulla quotidianità del paziente colpito. I principali sono:
- gonfiore localizzato, visibile e palpabile, delle gengive prossime al dente infetto;
- drenaggio di pus, che avviene attraverso un piccolo foro;
- dolore, anche persistente, soprattutto se l’infezione è profonda o estesa;
- sensibilità dentale, al caldo, al freddo o alla pressione;
- sapore sgradevole in bocca, causato dal drenaggio di pus;
- alitosi, provocata sempre dal drenaggio di pus;
- febbre e malessere generale, tipici di uno stato infettivo in corso;
- mobilità dentale, soprattutto nei casi avanzati in cui i tessuti di supporto del dente sono particolarmente deboli.
Bisogna sottolineare, però, che in una fase iniziale la fistola gengivale può essere del tutto asintomatica; questo non fa altro che confondere il paziente (che può facilmente confonderla con un afte) e ritardare la diagnosi e il trattamento.
Ecco perché, come suggerito dai professionisti dello Studio Dentistico ROA, è molto importante sottoporsi a controlli odontoiatrici regolari, in modo da individuare tempestivamente eventuali lesioni e intervenire il prima possibile.
Cause principali della fistola gengivale
Come accennato, la fistola gengivale non è altro che il risultato di un processo infettivo a carico del tessuto gengivale o dentale. Tra le principali cause rientrano:
- le infezioni dentali, come le carie, che se non trattate adeguatamente possono aggredire la polpa dentale;
- le malattie parodontali, caratterizzate da sacche infette che possono drenare attraverso la fistola;
- i traumi e le lesioni dentali, che possono danneggiare il tessuto gengivale e favorire lo sviluppo di un’infezione;
- i trattamenti dentali inadeguati, non eseguiti correttamente o con l’ausilio di strumenti/materiali inappropriati;
- eventuali complicazioni post–operatorie, a seguito di interventi chirurgici dentali o parodontali.
Risalire alla causa scatenante può essere decisivo per individuare il trattamento migliore per ripristinare il benessere orale e liberare il paziente da sintomi fastidiosi e debilitanti.
Diagnosi: quando rivolgersi a un dentista
La diagnosi di fistola gengivale parte da un esame clinico da parte del dentista. Nel corso della visita, lo specialista può osservare il gonfiore, il drenaggio del pus e/o la protuberanza sulla gengiva, valutare il dolore e localizzare l’infezione.
Gli esami radiografici si rivelano utili per una diagnosi completa e accurata, dato che consentono di identificare la presenza di un eventuale ascesso; in alcuni casi, il dentista può utilizzare una sonda per tracciare il percorso della fistola dal punto di drenaggio fino all’origine dell’infezione, così da risalire alla causa scatenante.
Eseguire una diagnosi precoce è fondamentale, perché permette di:
- prevenire le complicazioni, come la diffusione dell’infezione ai tessuti circostanti che, a sua volta, può causare cellulite (infezione dei tessuti molli) e osteomielite (infezione dell’osso);
- conservare il dente infetto, riducendo il rischio di danni irreversibili;
- donare sollievo dal dolore, andando a migliorare la qualità della vita del paziente;
- ridurre il rischio di disseminazione sistemica, cioè l’insorgenza di infezioni secondarie o l’aggravamento di condizioni preesistenti.
Inoltre, la diagnosi precoce consente anche di pianificare un trattamento adeguato ed efficace, che può prevedere una o più tecniche odontoiatriche per curare la fistola gengivale e risolvere definitivamente il problema.
Come curare una fistola gengivale
Il trattamento di una fistola gengivale richiede un approccio personalizzato, che tenga conto della causa scatenante e della gravità dell’infezione. Proprio per questo, gli specialisti del Centro ROA scelgono con estrema accuratezza l’opzione di trattamento migliore tra:
- drenaggio del pus, eseguito per alleviare la pressione e ridurre l’infiammazione;
- terapia antibiotica, utile per combattere l’infezione batterica;
- terapia canalare, indicata quando la fistola è provocata da un’infezione della polpa dentale, che prevede la rimozione del tessuto infetto e la pulizia e il sigillo dei canali radicolari per prevenire infezioni future;
- terapia farmacologica analgesica e antinfiammatoria, che favorisce il processo di guarigione e migliora la sintomatologia del paziente;
- devitalizzazione, indicata nei casi più gravi e complessi in cui la fistola ha compromesso significativamente il dente;
- apicoectomia, eseguita in casi molto gravi e/o quando la devitalizzazione non ha avuto successo, che prevede la rimozione chirurgica dell’apice radicolare infetto;
- estrazione del dente, la cosiddetta “ultima spiaggia”, che si rivela necessaria quando le altre terapie hanno fallito e il dente colpito non può essere salvato in alcun modo.
Cosa evitare
E’ preferibile astenersi dal fumo e dall’assunzione di alcol, due fattori che alimentano l’infiammazione e ridurre il consumo di bevande troppo calde o troppo fredde e i cibi irritanti (sugo di pomodoro, spremute di arancia, fritture).
Come prevenire le fistole gengivali
Dato che le fistole gengivali sono causate da processi infettivi che, a loro volta, derivano anche da patologie dentali, è indispensabile eseguire una corretta igiene orale per prevenirne la comparsa. In pratica bisogna:
- spazzolare i denti regolarmente, utilizzando uno spazzolino morbido almeno 3 volte al giorno;
- usare il filo interdentale, per rimuovere i residui di placca e cibo accumulati tra i denti;
- recarsi regolarmente dal dentista, per eseguire sia controlli periodici, sia pulizie dentali professionali.
Nel frattempo, è molto importante adottare uno stile di vita sano, a base di un’alimentazione equilibrata e finalizzata al rafforzamento di denti e gengive. In tavola non devono mai mancare vitamine e sali minerali contenuti principalmente in frutta e verdura e i pasti devono essere bilanciati per garantire all’organismo il giusto apporto di nutrienti giornalieri.
Quando è necessaria la chirurgia orale?
Se nella maggior parte dei casi la terapia antibiotica è sufficiente per far guarire una fistola gengivale, in alcune occasioni ciò non basta ed è necessario ricorrere al bisturi. La chirurgia subentra nel momento in cui l’infezione è grave o eccessivamente estesa e si rischia non solo la perdita del dente, ma anche l’espansione dell’infezione stessa in altre parti dell’organismo.
In questi casi, i dentisti del Centro ROA praticano una piccola incisione in anestesia locale per aspirare il pus ed evitare che i batteri si diffondano ulteriormente. Grazie alle radiografie, possono valutare se adottare o meno ulteriori misure: per esempio, se la fistola è causata da un’infiammazione della punta della radice del dente, allora è necessaria un’apicoectomia.
Come tutti i trattamenti chirurgici, anche gli interventi per la cura della fistola gengivale richiedono un post-operatorio basato su riposo, astensione dall’attività sportiva/lavorativa per almeno i primi 3-5 giorni, l’assunzione di antibiotici e, se necessario, impacchi di ghiaccio per limitare il gonfiore.
In genere, la guarigione avviene nell’arco di una settimana ma, in caso di complicanze, è opportuno rivolgersi al dentista in modo da intervenire immediatamente ed evitare ulteriori recidive.
Contatta il nostro studio
Le fistole gengivali non devono mai essere sottovalutate: se non trattate tempestivamente e adeguatamente possono, infatti, comportare complicanze gravi e irreversibili. Rivolgersi a odontoiatri specializzati è importante, sia per ottenere un diagnosi certa, sia per trovare il trattamento migliore per risolvere definitivamente il problema.

Il Dott. Giuseppe Galvagna è un esperto odontoiatra e chirurgo specializzato presso il Centro ROA, con una carriera caratterizzata dalla ricerca dell’eccellenza nella salute orale. La sua formazione accademica in implantologia e anatomia, unita a un Master in Chirurgia Guidata, evidenzia il suo impegno nell’aggiornamento continuo. Come Deputy Regent dell’ICD per la Sicilia, si impegna per gli standard più elevati in odontoiatria. Con una pratica professionale dal 1999 a Catania, offre una gamma completa di servizi odontoiatrici con un focus sull’etica e la qualità. Il Centro ROA, uno dei più importanti in Italia ed Europa, riflette l’impegno del Dott. Galvagna per la salute orale attraverso cure di alta qualità e moderna igiene.