
Gengivite: cause, sintomi e trattamenti per prevenire la parodontite
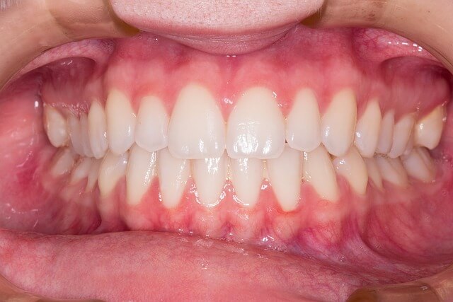
La salute delle gengive rappresenta il fondamento biologico e funzionale su cui si basa la stabilità dell’intero sistema dentale. Spesso percepita come una condizione secondaria
Blog

La salute delle gengive rappresenta il fondamento biologico e funzionale su cui si basa la stabilità dell’intero sistema dentale. Spesso percepita come una condizione secondaria

La salute del nostro parodonto, cioè l’insieme dei tessuti che sostengono i denti, è essenziale per la longevità e la bellezza del sorriso. La comparsa

La rottura o la scheggiatura di un dente, spesso causate da un trauma o da una masticazione errata, sono eventi che non vanno mai sottovalutati;

Avere un sorriso splendente è un desiderio comune; tuttavia, il passare del tempo, il fumo, il caffè e altri alimenti possono alterare il colore dei

Un sorriso completo, funzionale e armonioso dipende da una solida base ossea. Peccato che, in alcuni casi, la perdita di un dente o un’infezione possono

Un dente scheggiato, rotto o danneggiato da una carie può compromettere non solo la funzionalità della bocca ma anche l’estetica del sorriso. Fortunatamente, la ricostruzione

Quando un dente viene colpito da una carie profonda o da un trauma severo che coinvolge la sua polpa, diventa necessario ricorrere alla devitalizzazione, nota

Le gengive sono una parte essenziale della nostra bocca, non solo per la protezione dei denti ma anche per l’armonia del sorriso. Quando il tessuto

La perdita di uno o più denti può avere un impatto significativo sulla qualità della vita, poiché influenza non solo la masticazione e la fonetica,

Igiene orale e sorriso smagliante sono desideri comuni e tra i trattamenti fondamentali per ottenerli e mantenerli rientrano la pulizia dentale professionale e lo sbiancamento
Scrivici su WhatsApp